患者様の声|東京都北区 小川歯科医院

治療の例

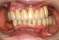
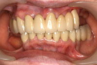
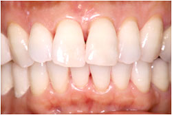
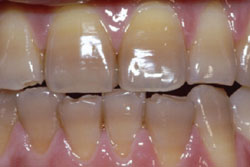
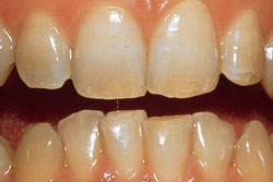
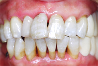
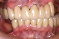
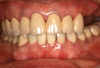
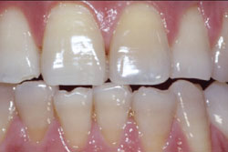
補綴

before after
治療症例 治療症例 治療症例
治療症例 治療症例 治療症例
治療症例 治療症例 治療症例
治療症例 治療症例 治療症例
治療症例 治療症例 治療症例

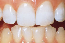
ホワイトニング

before after
治療症例 治療症例 治療症例
治療症例 治療症例 治療症例
治療症例 治療症例 治療症例
治療症例 治療症例 治療症例

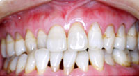
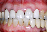
歯のクリーニング(PMTC)

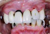
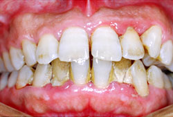
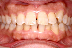
平成19年11月5日
歯槽膿漏末期
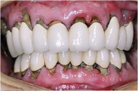
平成20年10月28日
上5本、下10本残せました
治療症例 治療症例 治療症例
初診時に10~11の歯周ポケットあり、自分で磨くだけでは限界があります。 1年後 2~4ミリに減少。プロのクリーニングを取り入れ歯磨きも努力された結果、奇跡的な回復を遂げられました。

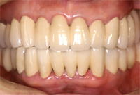
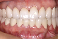
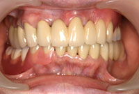
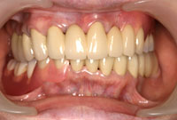
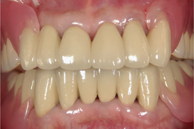
審美性に優れた入れ歯

before after
治療症例 治療症例 治療症例
治療症例 治療症例 治療症例