歯周病で歯が痛くなるまでには相当の時間がかかります。
つまり気付かないうちに進行していく生活習慣病の一つです。歯に付着して増殖した細菌が歯肉に炎症を起こし、骨まで溶かしてしまう恐ろしい病気です。自覚症状が出る頃には重症になっている場合が多いのです。
だからこそ、『徹底した歯周病検査』が大切です。当院では複数の歯周病検査を根気強く丁寧に行っています。
肉眼ではわからない虫歯はもちろん、歯を支える骨の状態までわかります。
複数の角度からお口の中をカメラで撮影し、診察いたします。歯の写真を拡大して撮影すると歯肉の色や炎症の状態がとてもよくわかります。保険点数の制約では5枚分までしか請求できませんが、実際には5枚の写真ですべてを把握するのは難しいため、当院では必要と判断した写真は無償で撮影しています。
正面から見るときれいでも、横側、内側など様々な角度から拡大して見ると歯周病だけでなく虫歯の状態もよくわかります。
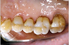
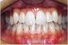
正常な状態でとてもきれい。
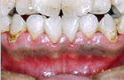
歯ぐきの腫れ具合がわかります。
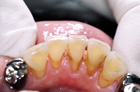
自分では見えないところ。着色と歯石が確認できます。
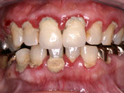
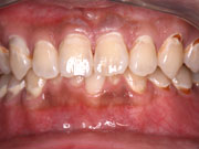
歯石がたくさん沈着して炎症により、歯茎が下がっています。
歯周病が進行すると歯と歯肉の間の溝が深くなっていきます。さらにその溝に細菌が溜まり悪循環を起こします。
歯周ポケットを測定することにより症状を診断することができ、具体的な治療方法を決めることができます。
測定するプローブを歯周ポケットに挿入していきます。一本の歯に対して4面を測定するので、二十八本の歯に対しては112面を測ります。
ピンセットで歯のグラグラ度を調べます。0度から3度まで4段階に分けています。
プラークも歯石もべったり付着しています。


