ひどい虫歯や歯周病でも、一本でも多く「歯を残す」治療に全力を尽くします。
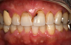
深い虫歯で歯の神経にまで達している。また歯周病で歯が揺れ、根っこがむき出しになりしみて仕方がない。そんな場合は神経を取らなくてはいけないことがあります。
しかし、歯を残すためにきちんと根管治療をすることで歯の寿命は延びます。
神経を取ったあと、神経が入っていた根管を清掃して、根の先にまで薬を入れます。かぶせ物などになる土台になる治療なので、歯を残すためには最も大切な処置です。
ところが根管は歯の種類によって形も複雑で手探りの作業になるため、時間をかけて丹念に行わないと先端まで十分に行き届かず、後になって根の先に病気が出てしまう原因となります。当院では最新の薬剤3MIX-MP法の併用で難しい根管治療を徹底して行っております。
そのため、患者さまには何度も通院をお願いすることになりますが、この地道な治療こそ歯を抜かずに残すための重要な基礎作りなのです。


※歯の形は複雑に異なり、根っこの本数もそれぞれです。
穴にはなっていないが、奥歯は黒ずんで見えたり、前歯では白っぽく見えたりする。正しい食習慣や歯みがきの励行、フッ素の使用で元に戻ることが可能。
穴にはなっているが、家庭では発見しにくい。自覚症状はたまにしみる程度。
目で見てわかるが、歯と歯の間にできた場合は見つけにくいことも。自覚症状としては冷たいものや、熱いものがしみることがある。
しみる、ずきんずきんと激しく痛むなど、自覚症状が現れる。
歯髄炎をそのままにしておくと、神経が腐り、歯根の先にうみがたまる。微熱が出ることもあり、激しい痛みを伴う場合も。