歯にも寿命があります。
予防しないと前歯は60年、奥歯は50年といわれています。
現在、日本人の保有本数は、80歳で平均7本、といわれています。
できるだけ、現在ある歯を大事にするためにも徹底した歯ブラシ指導とクリーニングで確実に寿命を伸ばしましょう!!
80歳の平均歯数です。
同じ長寿国なのに、どうしてこんなに違うのでしょう?
赤く染めだすと、磨き残しが分かります。
定期的に予防歯科を受診した方は、30年間に平均で1本しか歯を失わないというデータがあります。(Axelsson論文より)
歯磨きの目的は食べカスを取るだけではありません。歯間や歯ぐきの間にベッタリついた
歯垢1mgの中には1億の細菌がいます。この細菌が歯周病を引き起こします。
ソニックケアーで、しっかり綺麗な歯に。
バター、クリーム、チーズなど・・・食生活の欧米化に反して、歯磨きの欧米化は遅れています。欧米人には常識のフロスや歯間ブラシ、知らない方も多いのが現状です。
当院ではひとりひとり異なる歯ブラシや歯間ブラシの正しい選び方と使い方、磨き残しやすい場所の特定と攻略法をお伝えしてご好評いだたいております。
独自の特許技術「ソニックテクノロジー」で「早く」「簡単」「確実」にプラークを落とします。
フィリップス独自の「ソニックテクノロジー」は、ブラシヘッドの毎分約31,000回の超高速振動と、幅広い振動の組み合わせにより「ダイナミック クリーニングアクション(液体流動による洗浄力)」 を強力に発生。毛先の届きにくい歯間部や奥歯などのプラークを効果的に除去します。その効果は、世界の40を超える大学・研究機関における、140件以上の臨床試験や研究により裏付けられています。
メンテナンスの目的は
定期健診を受診しても虫歯や歯周病の検査をするだけで予防するわけではありません。
プロによる歯のクリーニングだからこそ歯にこびり付いた頑固なステインや深い歯周ポケット内の歯石も一掃して健康な歯ぐきを回復させることができます。
加齢とともに薄く弱くなっていくエナメル質を強化するので健康で若々しい歯を蘇らせます。
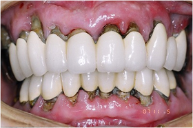
| 平成19年11月5日 歯槽膿漏末期 |
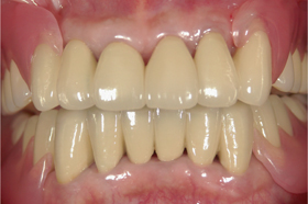
平成20年10月28日 上5本、下10本残せました |
|
![]() |
![]() |
![]() |
| 初診時に10~11の歯周ポケットあり、自分で磨くだけでは限界があります。 | 1年後 2~4ミリに減少。プロのクリーニングを取り入れ歯磨きも努力された結果、奇跡的な回復を遂げられました。 |

染め出し液で歯垢の付着状況をチェックします。
水と超微細なパウダー(塩の粒子)をウォータースプレーで吹きつけて、歯の表面の汚れを取り除きます。
各種多様のラバーチップを用意して歯肉のクリーニングをいたします。
歯科用フッ素入り歯面研磨ペースト
プロフィーペーストPro
グリーン:
スケーリング後の一次研磨や汚れの除去します。
レッド:
スケーリング後の二次研磨です。グリーンよりは研磨は細かいです。
MI(エムアイ)ペースト
歯に含まれるミネラルは酸性になると少しづつ歯から溶けでいってしまい、状態が進行しますと虫歯になります。
リカルデントにより、酸性になった環境を中性に戻します。
フルオール・ゼリー歯科用2%
APFフッ素塗布剤特有の酸味をさわやかなリンゴの香りです。不快感を与えずフッ素塗布が行えます。
RENAMEL(リナメル)
ナノ粒子ハイドロキシアパタイトで歯の表面を傷つけず、エナメル質と同じ成分で、なめらかにトリートメント、ケアをも行うPMTC最終仕上げペーストです。
ピュアテクトプラス
歯牙表面のクリーニング(清掃効果)及びポリッシング(仕上げ研磨効果)を同時に1本のペーストで行えます。“艶”を再現するために天然物由来の光沢材を添加し、フッ素も配合されています。
コンクールジェルコート(写真左)
フッ素コート剤として使用します。歯の再石灰化効果が期待できます。殺菌作用が高いので、歯周病予防にも適しています。
ケアポリス(写真右)
ケアポリスとは、免疫ケアジェルです。口腔内をマッサージすることによって、免疫力をアップします。
歯科衛生士による歯ブラシと専門的な機器を使用した歯のクリーニングです。
むし歯や歯周病の原因は「バイオフィルム」と呼ばれる細菌の膜です。
バイオフィルムが歯の表面に一度形成されると毎日の歯みがきでは落とす事ができません。
プロケアによりバイオフィルムを除去することでお口の中のトラブルを防ぐ事ができます。
定期的(年に2~4回)に行う事をおすすめしています。
歯周炎や歯周病の予防・むし歯の予防・口臭の予防等、いつまでもきれいで健康なお口を維持できます。
歯科衛生士によるプロケアは、主に以下のような事を行います。
詳しくは当院スタッフまでお問い合わせください。
プラークが石のように固まってしまったものを「歯石」といいます。 強力に歯にくっついているため、歯磨きでは落とすことが出来ませんから、定期的に歯科医院で専用の器具を使って落としてもらいましょう。
専用の器具を使って、ご家庭での歯磨きでは落としきれない汚れ(バイオフィルム)を落とします。 むし歯や歯周病の予防になるだけでなく、歯が本来持つ白さや輝きを取り戻すことができます。
家庭では使えない高濃度のフッ素を塗布します。 低濃度のフッ素が入った家庭用の歯磨剤と、歯科医院での高濃度のフッ素塗布を組み合わせていくと効果的です。
ご家庭でのお手入れをより良く行うために、あなたのお口に合ったお手入れ方法をご案内します。
60分10,000円
30分5,000円
私どもの仕事は、治療中のお口の健康のサポートです。
中でも大切なのは歯ブラシの指導。
「歯みがき」の目的は、お口の中の数え切れないほどの細菌が増えないようにすることです。単純な習慣になっている方も多いと思いますが、実は自分でできるお口の病気予防なんです。歯並びや歯の形・角度によって磨き方は違います。
「あなたに合った磨き方」をお教えしますので、是非ご相談ください。