ホワイトニング|東京都北区 小川歯科医院

ホワイトニング

ホワイトニング ホワイトニングとは、歯を削らずに、長い間取りきれなかった汚れによる歯の色の変色や、先天的な歯の黄ばみなどを白くする方法です。

ご自身の元々の歯の色よりも白くしたいという方には、お勧めの治療です。痛みや不快感はないので、リラックスした状態で治療して頂けます。

こんな方におすすめ

当院では、徐々に変化を実感できるホワイトニングを行っております。

  • 加齢による黄ばみを白くしたい方
  • 先天的に歯が黄色い方
  • 日常生活による着色を白くしたい方
  • 今の色よりさらに白くしたい方

オフィスホワイトニング

小川歯科医院がオフィスホワイトニングをお勧めする理由

エアフローただ歯を白くしたいというだけでなく、結婚式のときや卒業式、入社式等大切なイベントに合わせて歯を白くし、自信を持って笑いたいと思うものです。

そして、歯を白くする事で若々しく健康的に見えるというメリットもあるのです。

そういった事で人と接する事に自信が湧いてきて、活き活きと感じられるのです。

エアフローまた、女性にとって白い歯はメイク映えが良くなるという大きなポイントなのです。

ビヨンドホワイトニングなら平均でおよそ5段階明るくなります。

オフィスホワイトニングの流れ

当院で行うホワイトニングは厚生労働省で認可されているホワイトニングライトを使用しており、安全性も確認されています。

Q&A

そもそもホワイトニングって何?

「ホワイトニング」はその名の通り、白くすること。ここでいう「ホワイトニング」は過酸化水素という薬剤を使用して、歯の中の着色物質を分解し、歯を白くすることです。その方法には、歯科医院で行う「オフィスホワイトニング」と、お家で行う「ホームホワイトニング」があります。

ホワイトニングは安全ですか?

過酸化水素を使用したホワイトニングはアメリカで開発され、長年にわたり使用されてその安全性が証明されています。またオフィスホワイトニングで使用する「 ビヨンドライト」及び「エターナルホワイト」は発熱がなく、紫外線もカットされているので歯に安全です。

どのくらい時間がかかりますか?

ビヨンドライト、エターナルホワイトによるホワイトニングの場合、およそ45分で完了します。ヘアカットやネイルケア、お茶を飲む程度の時間ででき、とても簡単です。初めての方の場合、白さを持続させるためには、続けて2回以上のホワイトニングを行うとよいでしょう。

痛くないですか?

ホワイトニング後には、人により「刺激感」が出ます。これは「過酸化水素」による脱水症状が原因で、歯には問題ないと考えられています。「刺激感」はその方の“エナメル質の厚さ”により異なりますが、約24時間以内に解消し、元の状態に戻ります。

歯の白さはどのくらい持続できますか?

ホワイトニングの効果が持続する期間は、その方の嗜好、色に対する間隔、歯の構造によって個人差があります。
髪が伸びてきたら美容院に行くように、「色がついてきたな」と思った時が、次のホワイトニングに行くタイミングです。

どうして歯に色が付くの?

①生活習慣による着色~食事や嗜好品により着色していきます。茶渋や赤ワイン、コーヒー、コーラやカレー、タバコなどが着色の原因になります。

②加齢による変色~年齢を重ねることによって歯の内側にある象牙質の新陳代謝が低下し、徐々に歯の色が濃くなります。

③歯の構造の変化~歯の病気や外傷、薬の副作用(主に抗生物質)で歯の色が変化することがあります。

費用について

5万円(税別)
※2回分の総額です。

ホームホワイトニング

ホームホワイトニングとは

ホームホワイトニングとは、歯科医師の指示のもと、患者さんが自宅で寝ている間に、歯を表面から漂白する方法です。

歯科医院で、個人用のマウスピースを作成し、マウスピースを作り、ご家庭でそのマウスピースにホワイトニングジェルを流し込み、毎日2時間程度歯に装着します。自宅でできる処置なので、比較的簡便なのが特徴です。粘度の高いジェルはトレーからもれず、効率の良いホワイトニングを可能にしました。

ホームホワイトニング
ホームホワイトニング ホームホワイトニング

ホームホワイトニングの方法

1. 検査

ホワイトニングが出来るかどうか検査し、歯の色の診断や撮影を行います。

2. マウスピースの作成

歯科医院で、専用のマウスピースを作ります。

3. 自宅で行う

専用のホワイトニング材をマウスピースに入れ、毎日決められた時間に装着します。

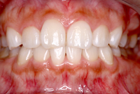
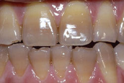
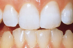
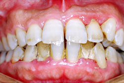
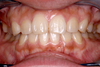
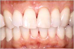
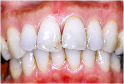
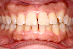
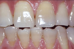
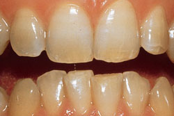
ホワイトニング症例

before after
ホームホワイトニング ホームホワイトニング ホームホワイトニング
ホームホワイトニング ホームホワイトニング ホームホワイトニング
ホームホワイトニング ホームホワイトニング ホームホワイトニング
ホームホワイトニング ホームホワイトニング ホームホワイトニング
ホームホワイトニング ホームホワイトニング ホームホワイトニング

クリーニングの充実

ホワイトニングまでは、ちょっと面倒だけれども、歯は綺麗にしたい方にお勧めです。

バリオス

バリオス バリオス750は歯周治療(スケーリングから歯周ポケットの消毒)、歯内療法(根管汚物の除去・洗浄・拡大)、そして修復治療(MIに基づいた治療)を行います。

また、ユニットからの注水とは別に専用のボトルが使用できますので、治療目的に合わせた消毒液を専用ボトルに入れて使用できます。

使用後は、消毒液を自動洗浄するモードを搭載しておりますで、注水経路を自動的に洗浄し、衛生的です。

エアフロー

エアフロー エアフローとは、水と超微細なパウダー(塩の粒子)をウォータースプレーで吹き付けて、歯の表面の汚れを取り除きます。 タバコのヤニや、コーヒー、紅茶、ワインなどによる、しつこい汚れに効果的です。

従来品に比べ、ハンドピースの先端ノズル部が短くなった事により、舌側傾斜の部位にも容易に噴射できます。また、必要以上にハンドピースで口唇を広げることもなく、患者様の負担も軽減します。

大切なご予定の前に

ブライダル直前プラン

エアフロー 専用の器具で歯の着色を取って磨きます。
※7,000円(税別)

ご商談前にも

エアフロー 営業マンの方の大切なプレゼンテーションの前にもおすすめです。