審美的に優れた入れ歯|東京都北区 小川歯科医院

審美的に優れた入れ歯

絶対わからない!審美的に優れた入れ歯

審美的に優れた入れ歯 快適で、審美的に優れている入れ歯、それがノンクラスプデンチャーです。

入れ歯に金属のバネがある・なしの違いだけで口元の印象が大きく変わります。

クラスプとは

入れ歯を歯に引っ掛けて固定するためのバネです。バネは通常の保険の入れ歯は金属でできているので、見えてしまうと目立ちます。

しかし、ノンクラスプデンチャーは保険の部分入れ歯にみられる金属のバネがありません。口を開けても、入れ歯だと判らないほど自然で美しい口元になります。

金属のバネのない入れ歯は残っている歯に負担をかけずに、しっかりと入れ歯を固定できます。
しっかり噛めて、残っている歯の健康も維持します。

治療をご希望の方は、ご来院の際にお尋ねください。

審美的に優れた入れ歯

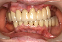
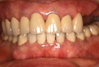
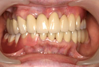
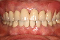
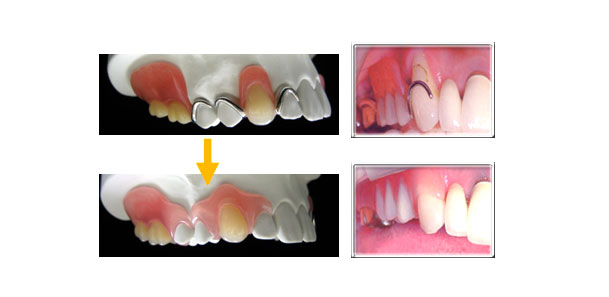
症例

before after
審美的に優れた入れ歯 審美的に優れた入れ歯 審美的に優れた入れ歯
審美的に優れた入れ歯 審美的に優れた入れ歯 審美的に優れた入れ歯

ノンクラスプデンチャ―とは

審美的に優れた入れ歯 普段よく見る金属バネが使われている、いわゆる「普通」の入れ歯は、笑ったときにちらっと見える銀色は「当たり前、しょうがない。」と、ちょっとした「諦め」が必要になってしまいます。

ノンクラスプデンチャーは、部分入れ歯の金属のバネの部分(クラスプ)がない、ノンアレルギー素材の入れ歯のことです。金属バネが使われていないので、入れ歯をしているけれど、していないような感覚です。

自然な入れ歯には「諦め」は必要ありません。
大きく口を開けて、思う存分笑ってみてください。

こんな方におすすめ

  • 義歯(入れ歯)で、人目の気になる方
  • 金属アレルギーの方
  • 口腔内に違和感を感じられる方
  • 義歯にして、咀嚼、発音が悪くなった方

ノンクラスプデンチャ―のメリット

審美的に優れた入れ歯 ノンクラスプデンチャ―は従来の入れ歯の常識をくつがえす、自然な美しさを追求した、ノンアレルギー素材の入れ歯です。金属バネのないノンクラスプデンチャ―で、自信を持って笑うことができるようになります。

金属を使用しない自然な入れ歯

患者さんに合わせた強度、弾性で製作しますので、今まで気になっていた「金属バネのある部分」を、歯ぐきに近い色を使用した樹脂で作ることができます。

フィット感に優れている

従来の材料と比べ寸法精度も格段に優れている入れ歯です。

自然な装着感

ノンクラスプデンチャ―を使用すると、入れ歯をしていることも目立たなくなります。

柔軟性があるため破折しにくい

非常に薄く軽いので、快適で違和感のない生活ができます。
お出かけ用にもぴったりです。