挑戦シリーズ - スタッフブログ

スタッフブログ

2019/05/27
挑戦シリーズ

こんにちは、衛生士の山下です。

一気に暑さも厳しくなり、皆様体調など崩されてはいらっしゃらないでしょうか?

令和始まりましたね。新しい時代様々な事に挑戦したいと思い、私もある事をスタートしました♪

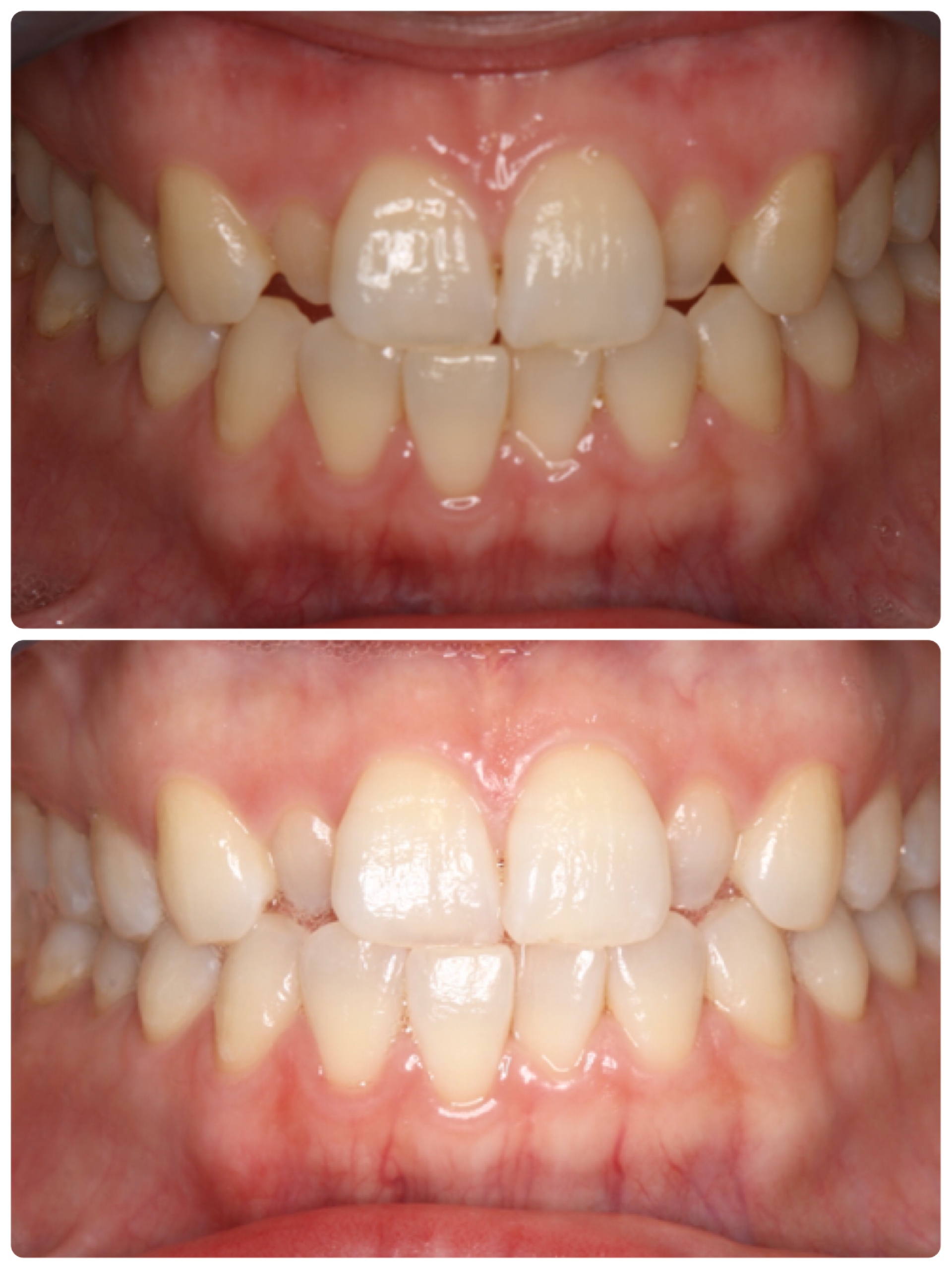
9D1767EA-DB24-43E0-A584-6E059831021F.jpeg

ホームホワイト二ングを再開しました。徐々に結果が出てきています(*・∀・*)

術前、術後をしっかりと記録しておくとモチベーションが上がります!

小川歯科ではホワイトニングを取り扱っておりますので、お問い合わせお待ちしています♪

5B13E1C1-1CED-4AA9-9463-9E8126AE1E0B.jpeg

そして二つ目です。じゃーん!と言ってもなんだか分りませんね。

院長からも中身を撮らないと!と指摘されました(-ω-;)

中身はトレーニングシューズとウエアです。そう、スポーツジムに入会しました!

これで小川歯科医院は院長はじめ、全員ジムに入会ということに。

筋肉歯科を目指している訳ではありません!笑

外見だけの問題ではなく心身ともに健康に保つという事が、

診療のパフォーマンスを向上させ、患者様の満足度を深める事にも繋がっていくと思います。

まずは何事も継続!という事で頑張っていきたいと思います。

月別アーカイブ