ホワイトニングその後♪ - スタッフブログ

スタッフブログ

2019/06/24
ホワイトニングその後♪

こんにちは、衛生士の山下です。気温も変わりやすいこの頃、

みなさま体調など崩されてはいらっしゃないでしょうか?

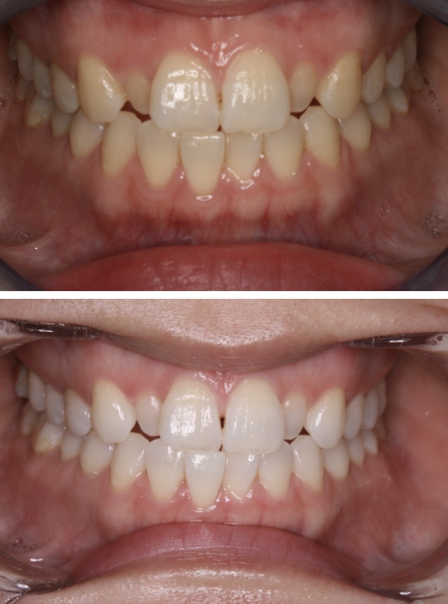
先日から始めているホワイトニング、まず結果からご報告からさせて頂きます。

51C4E8A9-C623-4B0C-B4FC-BE90F69B7F24.jpeg

いかがでしょうか?スタート時から比較するとだいぶ白くなったのがおわかり頂けると思います。

コンプレックスだらけの自分の歯ですが(;^^)

今までよりもより自信を持って笑うことができる!というのがホワイトニングが終わり感じたことです。

これからの暑い季節、日差しに負けない白い歯を手にいれてみませんか?

お問い合わせお待ちしております♪

月別アーカイブ