ビヨンドホワイトニング - スタッフブログ

スタッフブログ

2019/10/16
ビヨンドホワイトニング

こんにちは!歯科助手の小日向です。

今日は先日当院で受けたホワイトニングデモについて書いていこうと思います^^

その様子がこちらです↓

IMG_6254.jpg

IMG_6259.jpg

7分×3回のトータル21分で終わります。

時間をかけずその日に綺麗に白くなれるなんてとても魅力的ですよね♡

そしてスタッフ全員体験させていただきました!

時間の都合上わたしは7分×2回でしたが、歯のトーンはしっかり上がってとても綺麗になりました♡

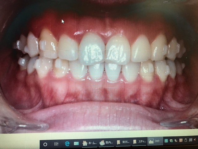
こちらが術前↓

IMG_6312.jpg

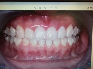
術後↓

IMG_6314.jpg

写真で伝わるでしょうか、、笑

初めてのオフィスホワイトニングだったのですが、しみることもなく自分的にはとても満足でしたし、勉強になることばかりでした。

是非、ホワイトニング気になる方はスタッフにまでお声がけ下さい♡

IMG_6261.jpg

月別アーカイブ